(bitte jeweils auf das Bild klicken um die Vergrößerung zu sehen)

 

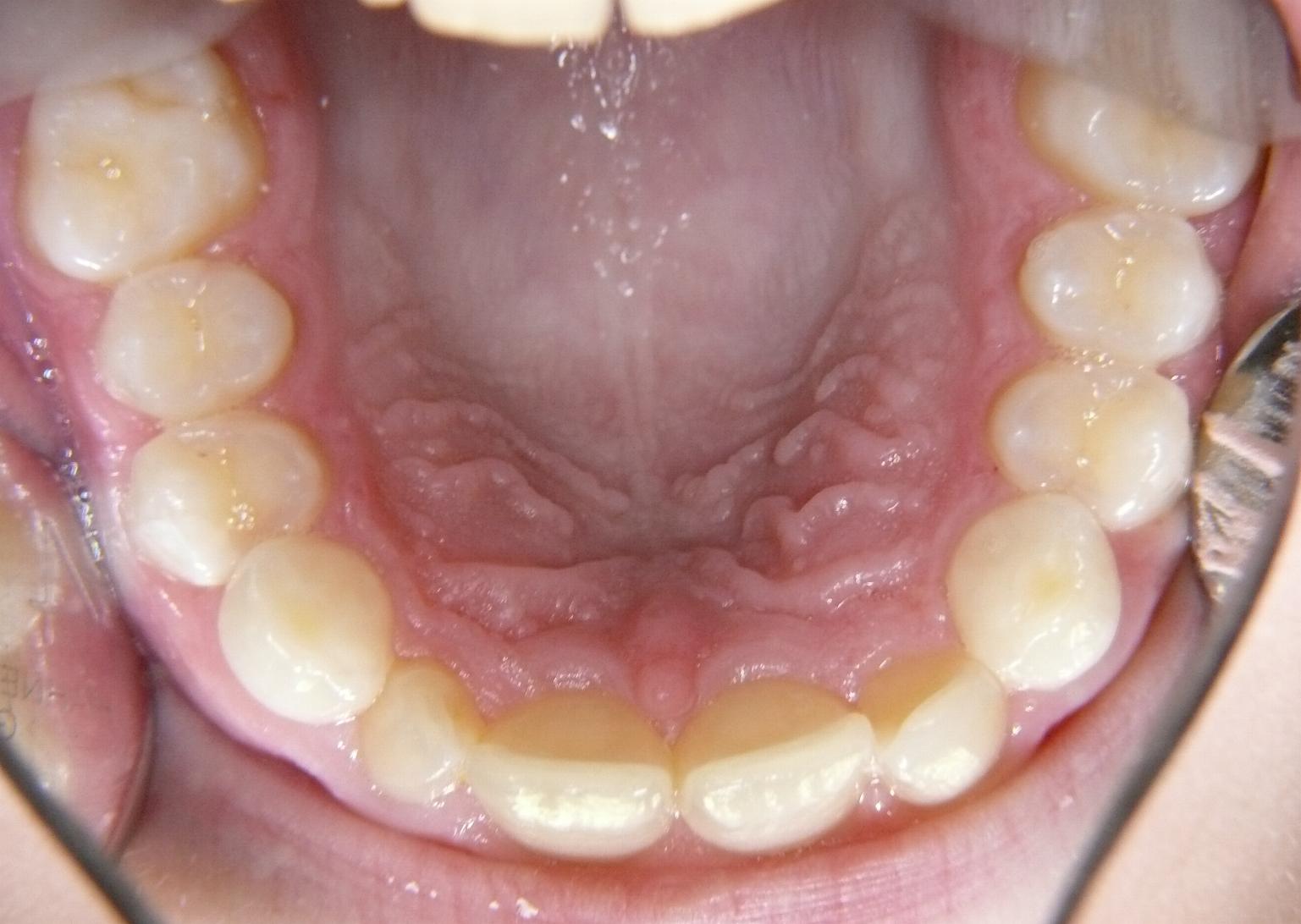
Beispielaufnahmen

aufgenommen mit Nikon COOLPIX & LED-Ringlicht

       

   

aus dem Erfahrungsbericht von Dr. Sorg, Zürich

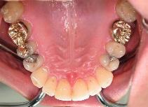
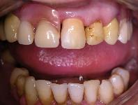
Anwendungsbeispiel Falldokumentation:

Fotodokumentation eines Behandlungsablaufes bei einer Implantat Operation mit Knochenaufbau lokal und provisorischer Versorgung:


 

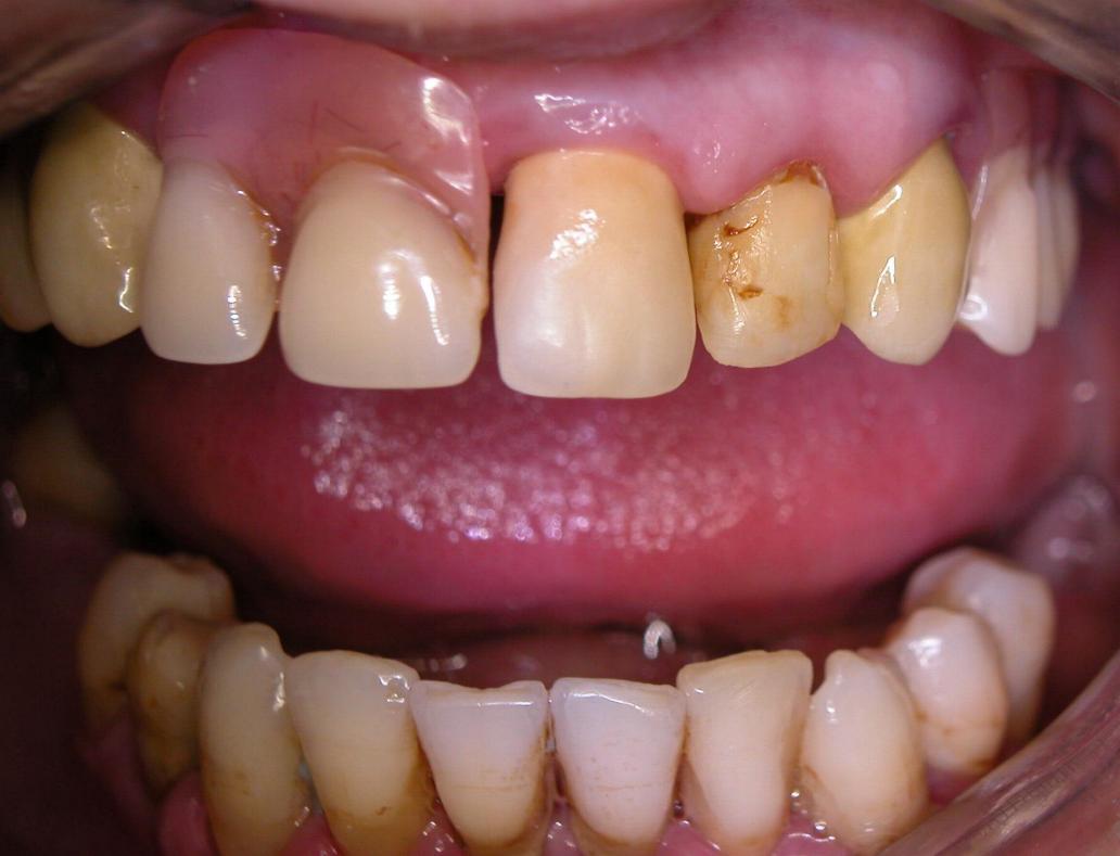
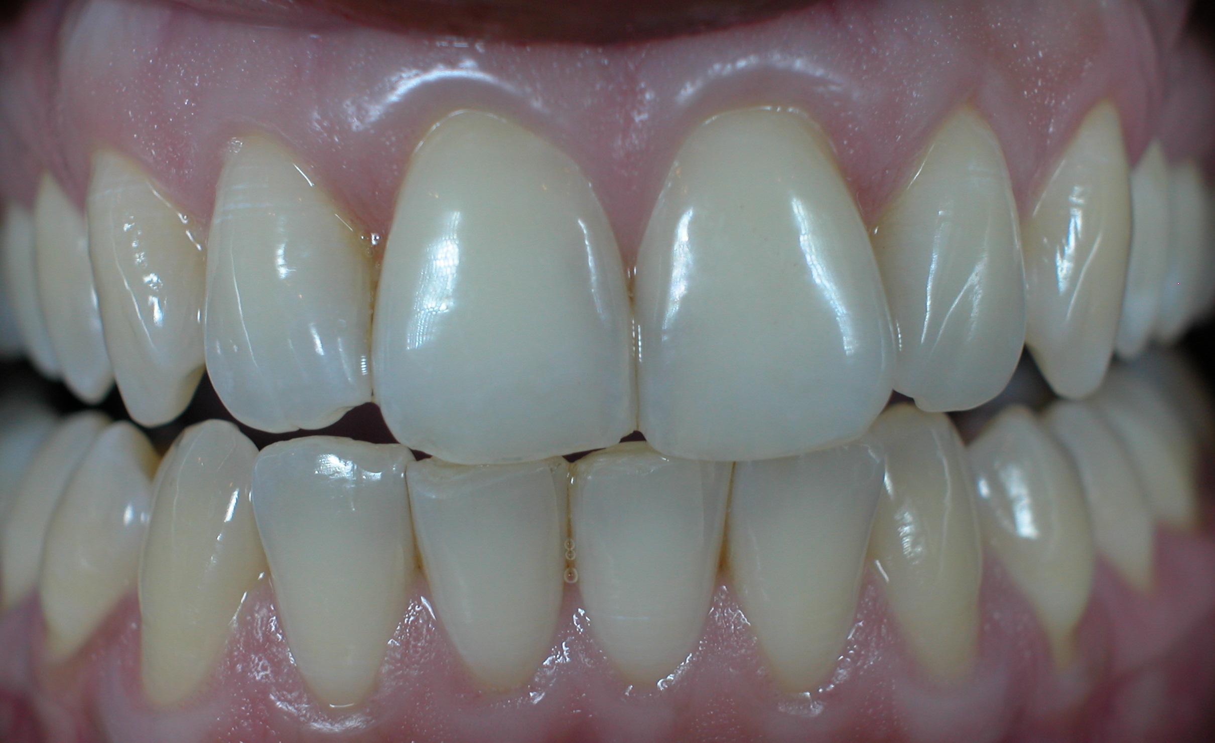
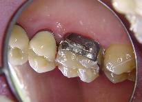
Farbbestimmung für Zahntechniker, wenn dieser nicht in die Praxis integriert ist.

Das Foto gibt dem Zahntechniker wichtige Hinweise für Grundfarbe, kann in kleiner Form per Mail gesendet werden

 

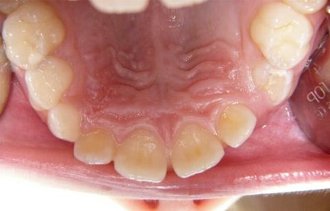
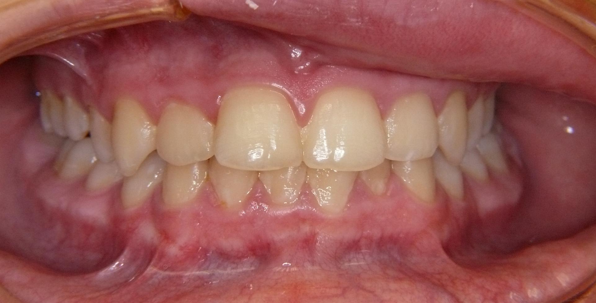
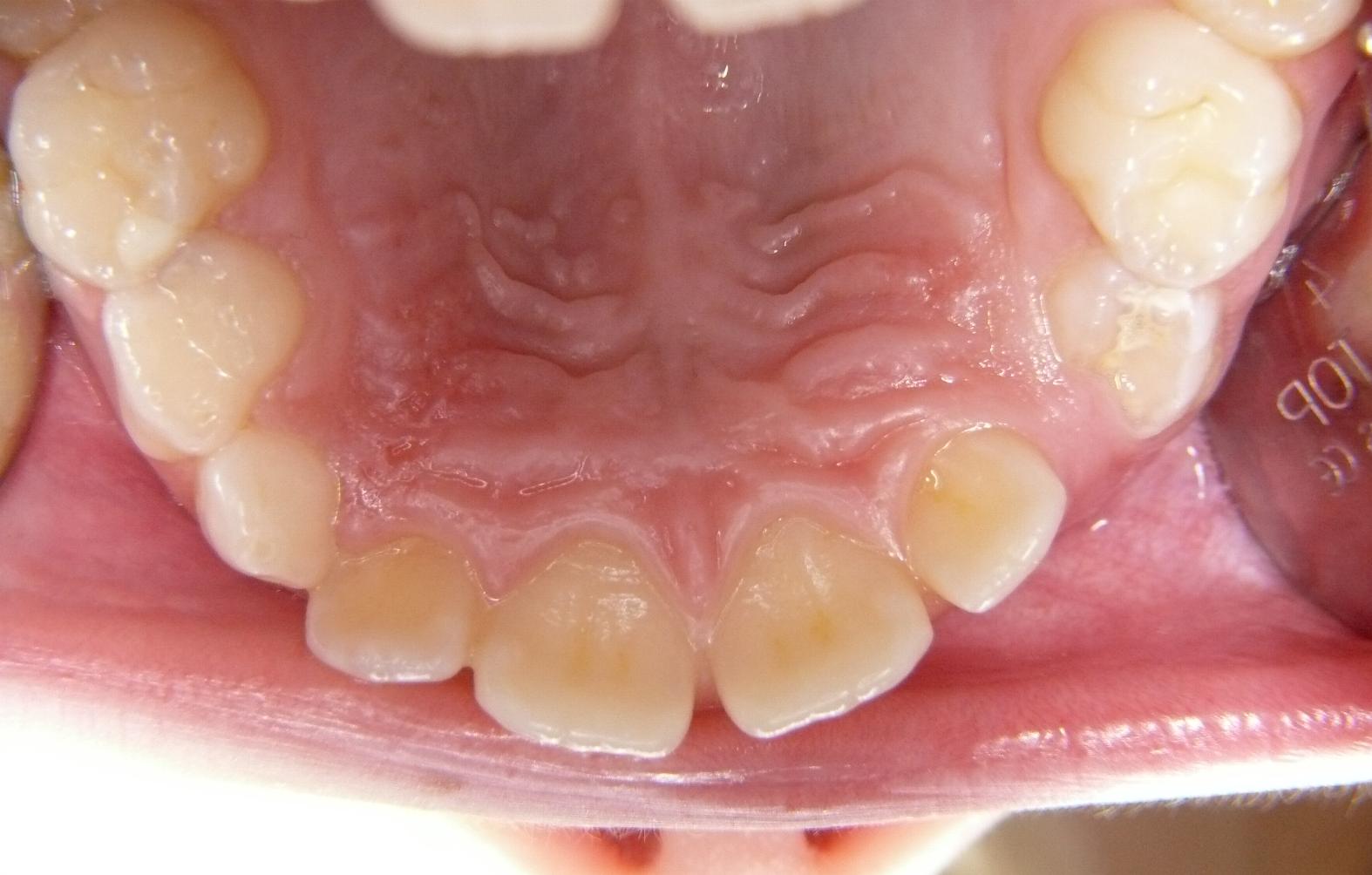
Beispielaufnahmen

freundlicherweise vom Zahnarzt Dr. Marc-Achin  Töpert, Neustadt/Aisch zur Verfügung gestellt

aufgenommen mit Panasonic DMC FZ50 mit SARA-LED-ECOnomy

 

 

 

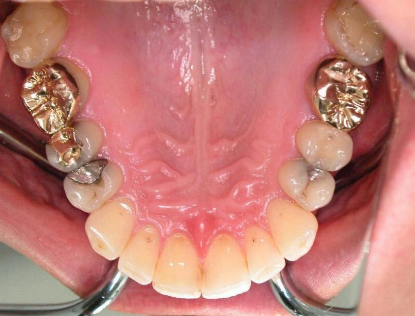
Beispielaufnahme aufgenommen mit dem SARA-LED-StudioLight - freihändig mit einer Nikon Coolpix Kamera

weitere Bilder folgen noch demnächst

 

 

zur Startseite